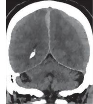
Coronal CT Reconstruction Showing an Acute Subdural Hematoma
ID: 62913
Title:
Coronal CT Reconstruction Showing an Acute Subdural Hematoma
Category:
Labeled-Cochard Imaging 1E Radiographs
Please describe! how you will use this image and then you will be able to add this image to your shopping basket.


Please Wait...