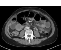
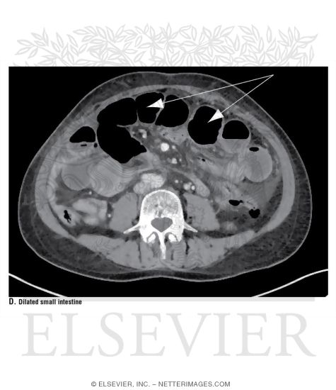
Dilated Small Intestine
ID: 62127
Title:
Dilated Small Intestine
Category:
Labeled-Cochard Imaging 1E Radiographs
Please describe! how you will use this image and then you will be able to add this image to your shopping basket.


Please Wait...