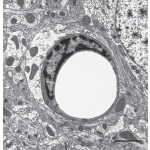
Electron Micrograph of a Capillary In the Brain In Transverse Section
ID: 13431
Title:
Electron Micrograph of a Capillary In the Brain In Transverse Section
Category:
Labeled - Ovalle Histology 1E
Please describe! how you will use this image and then you will be able to add this image to your shopping basket.


Please Wait...