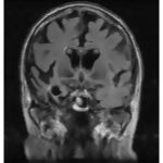
Frontal Temporal Atrophy
NetterImages Logo

Frontal Temporal Atrophy

Category: Labeled - Jones Neurology 1E

Watermarked preview of labeled image: Frontal Temporal Atrophy

Pricing

Images on Similar Topics

Know more about Netter
© 2005–2026 Elsevier. All rights reserved, including those for text and data mining, AI training, and similar technologies.