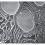
High-resolution Scanning Electron Micrograph Showing Interdigitations Between Photoreceptor Outer Segments and Apical Membranes of RPE Cells
ID: 14984
Category: Labeled
Please describe! how you will use this image and then you will be able to add this image to your shopping basket.


Please Wait...