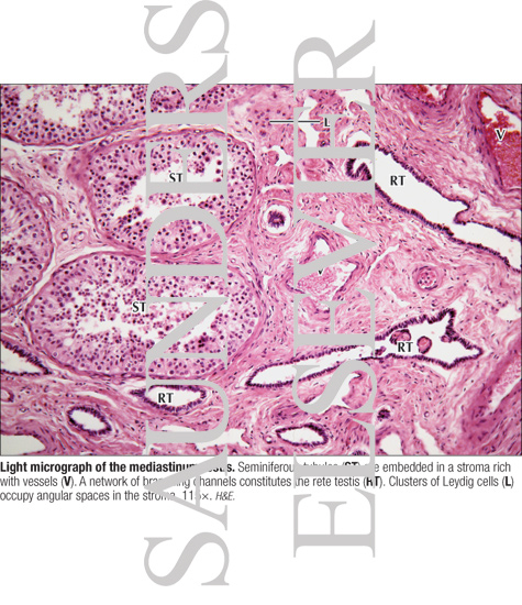
Light Micrograph of the Mediastinum Testis
NetterImages Logo

Light Micrograph of the Mediastinum Testis

Category: Labeled

Watermarked preview of labeled image: Light Micrograph of the Mediastinum Testis

Pricing

Images on Similar Topics

Know more about Netter
© 2005–2026 Elsevier. All rights reserved, including those for text and data mining, AI training, and similar technologies.