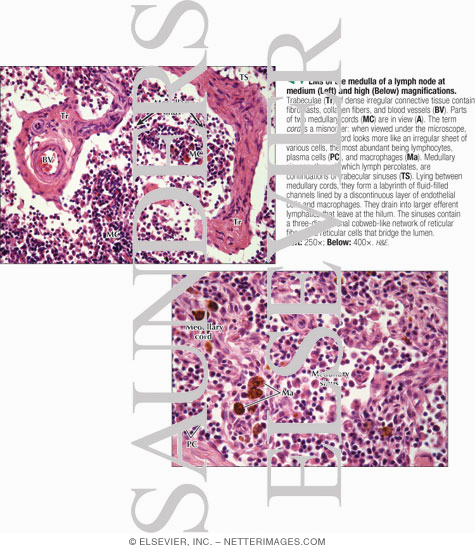
Light Micrographs of the Medulla of a Lymph Node at Medium (Left) and High (Below) Magnifications
ID: 13900
Category: Labeled
Please describe! how you will use this image and then you will be able to add this image to your shopping basket.


Please Wait...