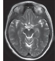
T2 Axial MRI Though the Optic Chiasm
ID: 62936
Title:
T2 Axial MRI Though the Optic Chiasm
Category:
Labeled-Cochard Imaging 1E Radiographs
Please describe! how you will use this image and then you will be able to add this image to your shopping basket.


Please Wait...