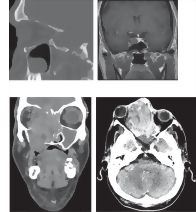
Imaging of Sinus and Orbit Pathology
ID: 61997
Title:
Imaging of Sinus and Orbit Pathology
Category:
Labeled - Cochard Imaging 1E
Please describe! how you will use this image and then you will be able to add this image to your shopping basket.


Please Wait...