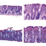
Microscopic Colitis: Lymphocytic and Collagenous
ID: 47519
Title:
Microscopic Colitis: Lymphocytic and Collagenous
Category:
Labeled-Floch 2E
Please describe! how you will use this image and then you will be able to add this image to your shopping basket.


Please Wait...