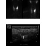
Preoperative Imaging of Neck: Scintigram and Sonogram
ID: 66747
Title:
Preoperative Imaging of Neck: Scintigram and Sonogram
Category:
Labeled - Delaney Surgical Anatomy 1E
Please describe! how you will use this image and then you will be able to add this image to your shopping basket.


Please Wait...